CERVICAL DISC PROBLEM
What we do?
At our Advanced Spine Center, we offer expert diagnosis and advanced treatment for cervical disc problems, combining non-surgical therapies, minimally invasive spine care, and motion-preserving surgeries to help patients live pain-free.

Cervical Disc Care
Specialized treatments for disc bulge, stenosis, osteophytes, and cervical trauma to restore healthy neck function.

Motion-Sparing Surgery
Expertise in cervical disc replacement and laminoplasty that preserve mobility and reduce the need for spinal fusion.

Expert Spine Surgeon
Dr. Balamurali brings 26+ years of experience as a trusted neurosurgeon, providing world-class spine care in India.

Precision & Technology
Advanced imaging and intra-operative CT navigation ensure safe, accurate, and effective cervical spine surgeries.
Cervical Disc Problems
Cervical spine is the most flexible anatomic region in the axial skeleton. Distinct segments of the cervical spine give us the ability to perform complex neck motions like head turning, tilting or bending. This leads to increase in wear and tear of the disc.The most common degenerative disorders of the cervical spine affect the C3-C7 segments. Symptoms of disc herniation, joint degeneration and spondylostenosis include neck pain, arm pain and sensory disturbance, weakness, spasticity and difficulty in walking or using hands.
Our surgical team also has an expertise in motion-sparing operations such as cervical disc replacement and cervical laminoplasty that obviate the need for a cervical spinal fusion.
Cervical Disc Problems That Can Be Treated
- Cervical Disc Bulge
- Cervical Stenosis (Cord Compression)
- Cervical Osteophyte (Bone Compression)
- Cervical Kyphosis
- Ossified Post Longitudinal Ligament (OPLL)
- Ossified Post Longitudinal Ligament (OPLL)
Simple Neck Exercises
Ankylosing Spondylities
Ankylosing Spondylities
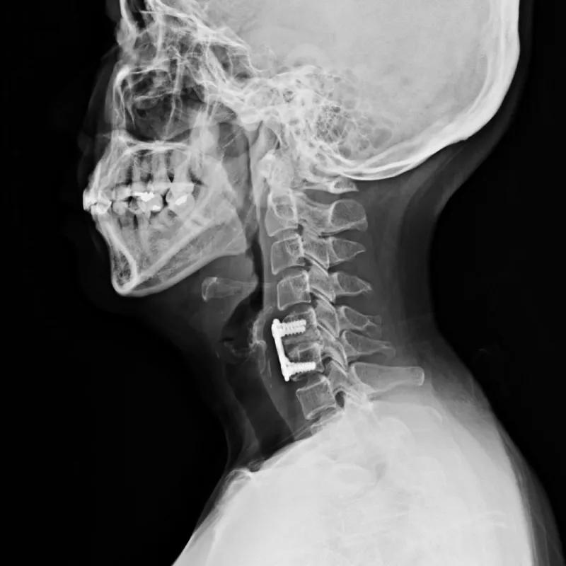
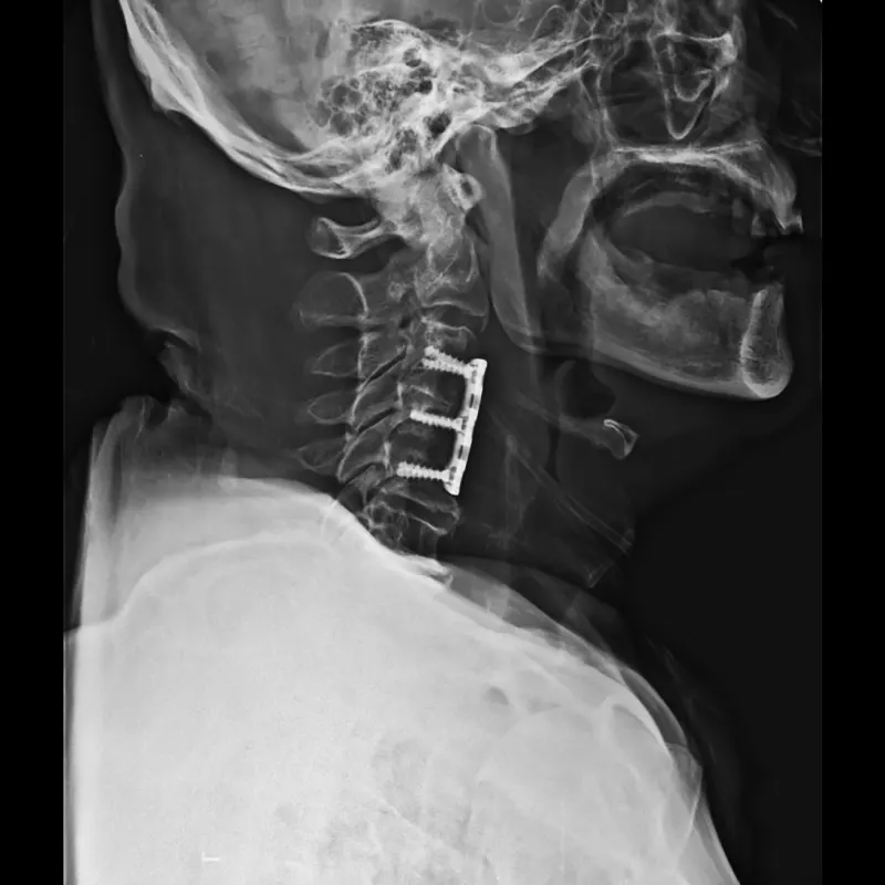
Anterior Cervical Discectomy And Fusion With Cage
Anterior Cervical Discectomy And Fusion With Plating
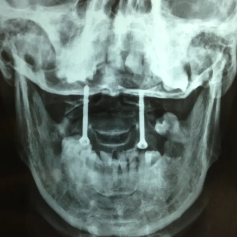
C1-C2 Posterior Instrumented Stabilisation
C1-C2 Transarticular Screw
C1-C2 Transarticular Screw
Cervical Disc Replacement
Cervical Trauma
Ct Showing Ossified Posterior Longitudinal Ligament (OPLL)
Intra-operative CT Navigation
Ossified Posterior Longitudinal Ligament (OPLL)
Cervical Disc Problems Sorted With Ease
Suffering from cervical spine problems? We are here to help! Get expert treatment facilities and therapies under the guidance of a professional spine surgeon in Chennai, India!
Cervical Degenerative Disc Treatment Testimonials
Posterior Cervical Spine Surgery
Anterior Cervical Discectomy And Fusion
Anterior Cervical Discectomy And Fusion
C5/6 Anterior Cervical Discectomy And Fusion
Disc Problem, Spondylitis And Tuberculosis
In Association With