Best Paediatric Spine Surgeon in Chennai
What we do?
We specialize in paediatric spine surgery, offering advanced care for babies and children born with spinal or brain abnormalities, ensuring precise, safe, and compassionate treatment.

Congenital Spine Treatment
Expert surgical care for newborns and infants with neural tube defects, split cord syndrome, and other complex spinal anomalies.

Paediatric Care Facilities
Equipped with neonatal ICU, paediatric anaesthesiologists, and dedicated nursing support for the highest level of safety and care.

Spasticity Management
Specialized centre for treating children with spasticity using advanced monitoring and surgical precision to enhance mobility and comfort.

Project Thalirgal
An initiative by Dr. G. Balamurali and Kauvery Hospital providing free spine and brain surgeries for infants from low-income families.
Advanced Paediatric Spine Surgery in Chennai
Congenital paediatric problems of the spine are very rare. Dr Balamurali, best pediatric spine surgeon in Chennai India, treats babies from as small as 1.5 kg from day 1 of life born with neural tube defects to complex intradural spinal cord anomalies that requires surgery. We use intraoperative neuromonitoring from 1 year of age and above
Facilities For Pediatric Care Are
- Neonatologists and Paediatrician
- Paediatric Anaesthesiologist
- Neonatal and Paediatric Nurse
- Neonatal ICU and Dedicated Ward
- Interaoperative Equipment
We are also Specialised Centre to Treat Children With Spasticity With
- Baclofen pump insertion
- Selective dorsal rhizotomy
- Botox injections
- Tendon and muscle releases
The Conditions Which Are Treated in Children May Include
- Open and closed myelomeningocele
- Dermal sinus
- Dermoid, epidermoid and other tumours
- Syringomyelia
- Chiari Malformation
- Split cord malformation
- Tethered cord syndrome
- Hydrocephalus and brain tumours
- Other congenital problems
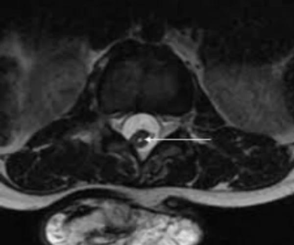
Comprehensive View of Congenital paediatric problems
Congenital Hiry Patch
Myelomenigocle Repair
Split Cord Syndrome
Ultra Sound
CT Showing Diastem
CT Showing Diastem
Bony Diaster
Meningomyelocele
Treatment
Womans Pregnant Treatment
Baby Care Treatment
Baby Ventilation Treatment
Caring For Your Little Ones With Utmost Precision
From newborn babies to 1-year-olds, our best pediatric spine surgeon in Chennai will take extra care of your little ones and ensure that they live a normal, pain-free life filled with smiles and mischief
In Association With
We are a Specialized centre for Paediatric Spine Surgery
Miracle Baby Survived 5 Surgeries
Patient Testimonial - Dethering of cord
Patient Testimonial - Lipomeningocele repairr and Dethering of cord
Testimonial For Dermal Sinus Excision Surgery
Testinonial for Congenital Hydrocephalus
Dr Balamurali - Surgery on Newborn at Kauvery Hospital
Dr Balamurali - Lipoma Spinal Cord
Dr Balamurali – Myelomeningocele Surgery
Dr Balamurali - Dermal Sinus Excision surgery
Dr Balamurali - Cranial Correction Surgery
Myelomeningocele
Ventriculoperitoneal (VP) shunt
Lipoma of spinal cord
Ventriculoperitoneal (VP) shunt
Encephalocele
Lipomyelomeningocele
Dr Balamurali – Lipomyelomeningocele
EncephaloceleNew Testimonila for Dr Balamurali
Thalirgal – Free Surgeries For Babies
Birth defects are the leading cause of infant mortality and morbidity in India. According to recent study the infant mortality rate is on the increase alarmingly despite the tremendous advancements in medical technology and skills. With timely intervention, the babies can be saved and most children can lead a normal life like any other healthy child. Though the required skills, expertise, high-end technology and the complete sterile environment to prevent infections and to treat the new born babies are available in some of the private sector hospitals, the lower income people find it difficult to pay the hospital expenses. The delay in timely treatment and the inability to bear the hospital expenses leads to the death of several unfortunate infants.
Dr G Balamurali, (Best pediatric spine surgeon in Chennai) of Kauvery Hospital in association with Rotary Club of Madras North and Government of Tamil Nadu conceptualized “Project Thalirgal” to treat or operate babies born from low socio economic background with congenital abnormalities related to Spine and Brain free of cost.