Best Lumbar Disc Surgeon in Chennai
What we do?
We provide advanced treatments for degenerative thoracolumbar disorders, ranging from minimally invasive procedures to complex reconstructive surgeries, ensuring long-term relief and improved spinal health.

Degenerative Spine Care
Comprehensive management of lumbar stenosis, scoliosis, kyphosis, spondylolisthesis, and other age-related spinal disorders with proven techniques.

Minimally Invasive Surgery
Small incisions and advanced methods like mini-open and transthoracic disc surgery ensure faster recovery and reduced complications.

Disc Herniation Treatment
Expert care for lumbar and cervical disc problems, including discectomy, fusion, and motion-preserving procedures for long-lasting relief.

Expert Consultation
With vast experience in degenerative spine surgery, Dr. G. Balamurali provides accurate diagnosis and tailored solutions for every patient.
Comprehensive Treatment for Degenerative Thoracolumbar Disorders
Degenerative thoracolumbar disorders are becoming increasingly prevalent as patients have longer, healthier, and more active lives. While much of the treatment is non-surgical, there are certain conditions that require surgery. Some degenerative diseases can be easily treated with small, minimally invasive procedures, but others require large, reconstructive operations.
Dr Balamurali, a professional spine surgeon in Chennai, India, have considerable experience treating the entire spectrum of degenerative disorders, as well as in- depth knowledge of the success rates of each procedure. Mini open and minimally invasive transthoracic disc surgery is performed here.
Non-surgical treatments include
- Disc herniations / Prolapse
- Facet joint arthroplasty
- Physical therapy
- SI joint degeneration
- CT guided injections
- Spondylolisthesis
- Kyphosis
- Robotic guided injections
Comprehensive View of Degenerative Spine Disorders
Stages of disc herniation
Open Lumbar Fusion
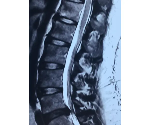
MRI disc lumbar
Minimally Invasive Lumbar Fusion
Lumbar Disc Prolapse
Cervical and Lumbar disc bulge
Consult with the best lumbar disc surgeon in Chennai
We know it is hard to be in pain. And, we are here to help you and give you that relief you had always wished for!Fix an appointment and live life better!
Lumbar Discectomy Testimonials
Testimonial For Spine Surgery
L5 S1 Lumbar Discectomy
L5/S1 Lumbar Discectomy
Disc problem, spondylitis and Tuberculosis
Get Your Free Patient Information Booklet
Learn more about Minimally Invasive Lumbar Microdiscectomy and Laminectomy Surgery — download or request your Patient Information Booklet today.
In Association With