SPINAL TUMOUR – UNDER THE CARE OF THE BEST SPINE TUMOR SURGEON IN CHENNAI
What we do?
We provide advanced diagnosis and treatment for all types of spinal tumours using surgical and non-surgical methods to restore health, mobility, and quality of life.

Comprehensive Tumour Care
Expert management of spinal cord, nerve, and bone tumours through collaboration with oncologists and multidisciplinary specialists.

Multidisciplinary Expertise
Combined care from neuro and orthopaedic spine surgeons ensures precise diagnosis, effective treatment, and improved outcomes.

Advanced Treatment Options
Offering biopsy, open surgery, corpectomy, tumour reconstruction, and stereotactic radiosurgery tailored to each patient’s needs.

Expert Surgeon
Dr. G. Balamurali, India’s leading spine tumour specialist, treats primary and metastatic tumours with unmatched precision and compassionate care.
Advanced Treatment for Spinal Tumours
Tumour in the spine can arise in the spinal cord, covering of spinal cord, nerves or bone. Our team has a huge experience in managing all types of tumours to enable and provide quality life. All spine tumour cases are routinely reviewed with oncologist to determine the best treatment options for each patient. The close collaboration between neuro spine surgeons, orthopaedic spine surgeons, and oncologists improves outcome. Dr Balamurali, best spine tumour surgeon treats all kinds of spine cord tumour.
Extradural 50% of all spinal tumors
- Metastatic
- Osteoblastoma
- Osteoid osteoma
- Giant Cell tumor
- Others
Intradural – extramedullary 40% of all spinal tumors
- Nerve sheath tumors Schwannoma Neurofibroma
- Meningioma
- Metastasis
Intradural – intramedullary 10% of all spinal tumors
- Ependymoma
- Dermal Astrocytoma
- Hemangioblastoma
- Paraglioma
- Myeloma
- Others
Surgical
- Treatment options
- Biopsy
- Open procedure
- Minimally Invasive Procedures
- Tumour Reconstruction
Non-Surgical – Stereotactic Radiosurgery
Dr Balamurali, the best spine neurosurgeon in India, offers treatment for all primary and metastatic tumours from the skull base to the sacrum. Our neuro surgeons has vast experience in operating simple to complex spinal cord tumour through small 22 mm tubes for excellent results and speedy recovery.
Procedures Performed For Spinal Tumour Treatment
- Minimally invasive tumour excision
- Corpectomy and tumour reconstruction
- Image guided tumour surgery
- Peripheral nerve tumours
- Percutaneous biopsy
- Stereotactic radiosurgery
Comprehensive View of Congenital paediatric problems
Spinal Tumour
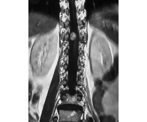
MRI Showing Tumour
N5 Spinal Cord Tumours
Pathological Collapse Of L4
CT Showing Diastem
Win Your Life Back From Spinal Tumour With Our Spine Surgeon
Don’t let spinal tumour belittle you! Our best spine tumour specialist here to offer expert assistance and quality life. If life throws stones at you, smile back and win over it!
Spinal Tumour Surgery Videos
New Testimonial From Ms Sharmila
Laminoplasty for Major Tumour
Laminoplasty Surgery for Tumour
Open vs MIS tumour surgery
C2 Tumour excision, Minimally invasive spine surgery, Key hole surgery
In Association With